
Speciality | Orthodontics & Dentofacial Orthopedics Braces and Invisible Aligner Specialist |
Degrees | MDS, M. Orth (Royal College of Surgeons of Edinburgh) |
Areas of Expertise |
|
Office | Cosmocare Medical Center |
Dr. Abdulqadir Rampurawala
Orthodontics & Dentofacial Orthopedics
Dr. Abdulqadir Rampurawala is a highly qualified orthodontist dedicated to helping patients of all ages achieve confident, healthy smiles. With extensive experience and a passion for orthodontics, he offers comprehensive treatment for a wide range of malocclusions (misalignment of teeth and jaws) including but not limited to crowding, spacing, overbites, underbites, crossbites, and open bites. He is trained in some of the latest techniques such as Damon self-ligating braces, Invisalign braces, etc. He is proficient in English, Arabic, Hindi and Gujrati languages.
Dental Treatments of Dr. Abdulqadir Rampurawala
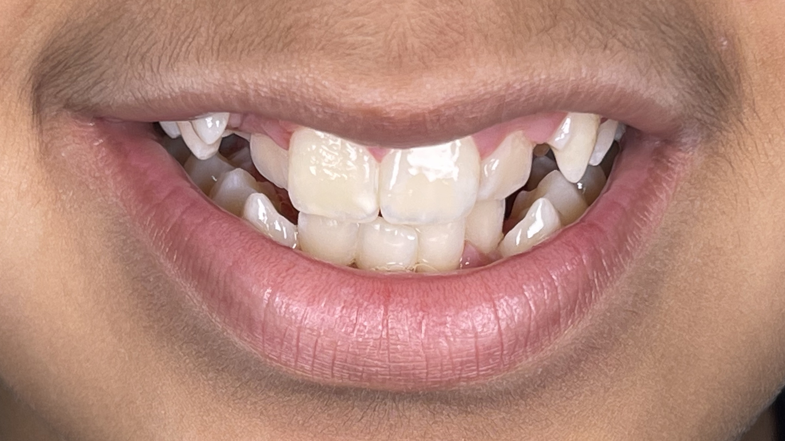
Smiles Gallery
We love to see our patients smile! Here are some of our best before-and-after pictures,
all in one fantastic Smile Gallery




































What Patients Say
Dr. Abdulqadir is our family dentist. Had a great experience with this place. The staff is welcoming, the facility is clean, and the results are amazing. Shout out to Emily and Kee Kee for the hospitality!!
This is worth every penny. Everyone here were terrific & treated me with kindness & respect. I highly recommend Cosmocare Medical Center..👍🏽
Our Spesialists
Dr. Murtaza Pithawala
Dr. Murtaza Pithawala, our specialist surgeon, has over 20 years of experience in treating a wide variety of these problems.
Dr. Lavanya George
Dr. Lavanya George graduated from Dr. M.G.R Medical University Chennai, Tamil Nadu, India in the year 2000.
Dr. Mubina Tankiwala
Dr. Mubina is a very friendly General Practioner, a natural leader with problem solving ability and commitment to .....
DR. ALFIYA CHHATARIA
Passionate about creating beautiful smiles, Dr. Alefiya has done her Masters in Conservative Dentistry and Endodontics.